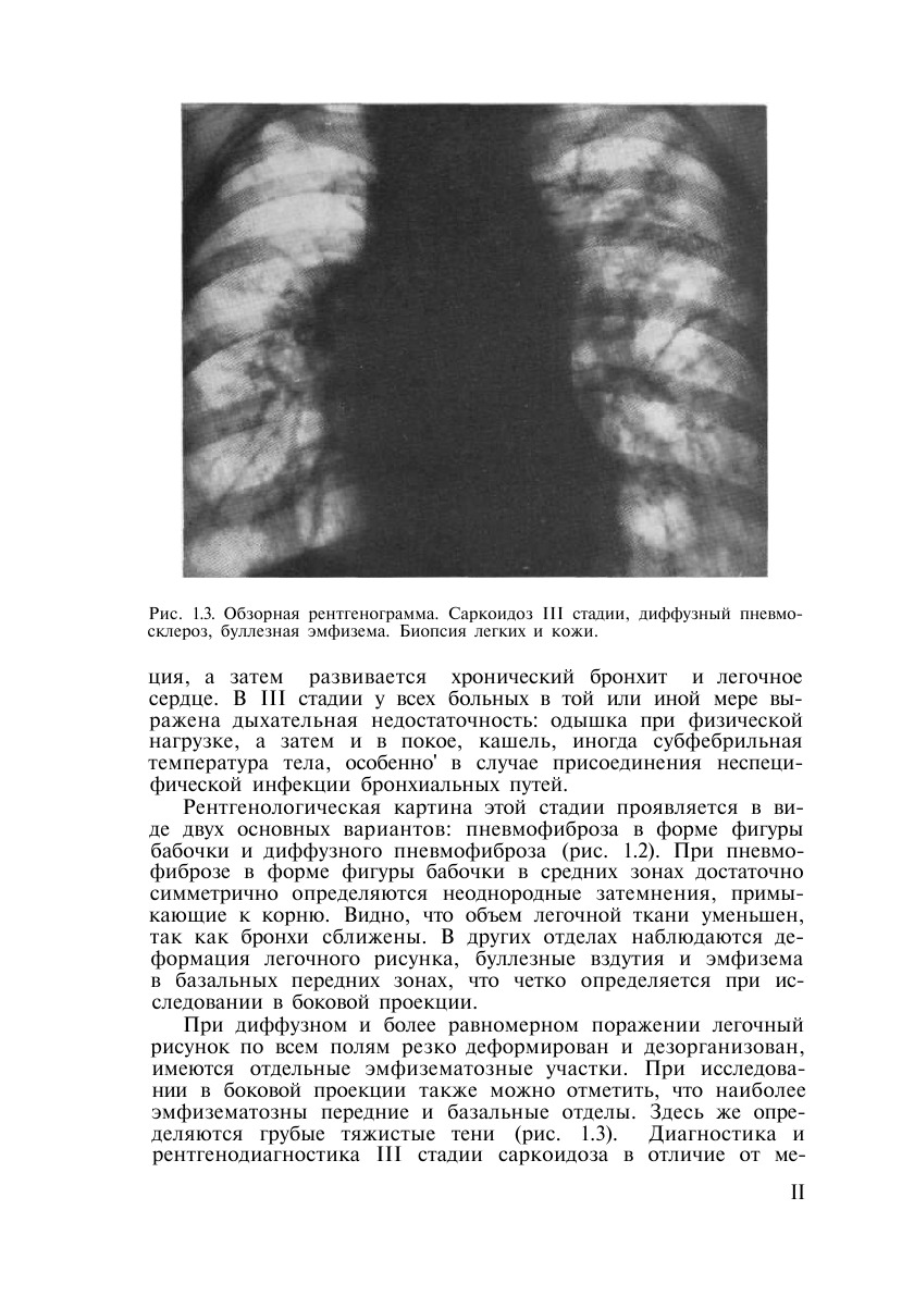
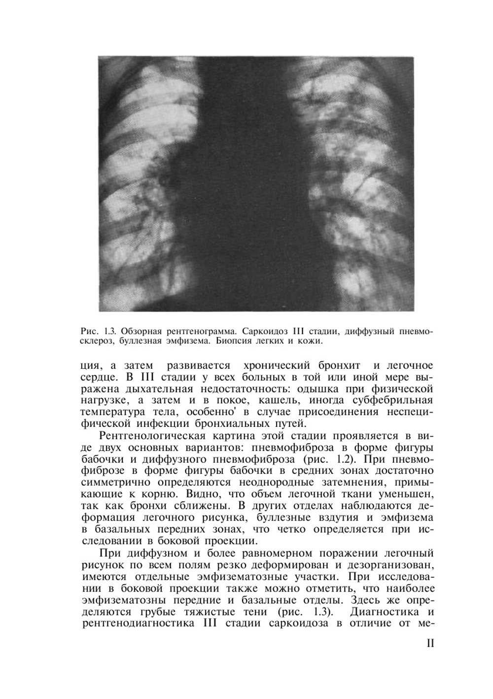
Описание
Характеристики
Отзывы
Описание
Печатная книга «Дифференциальная рентгенодиагностика заболеваний органов дыхания и средостения, Том 2» в мягкой обложке, язык - русский. В книге 384 страниц, она напечатана на белой офсетной бумаге плотностью 80 г/м². Формат издания — 148x210 мм. Все книги аккуратно упаковываем в прочный трёхслойный непрозрачный картонный конверт. Розенштраух Л.С., Виннер М.Г. Эта книга — репринт оригинального издания (издательство "Медицина"), созданный на основе электронной копии высокого разрешения, которую очистили и обработали вручную, сохранив структуру и орфографию оригинального издания. Редкие, забытые и малоизвестные книги, изданные с петровских времен до наших дней, вновь доступны в виде печатных книг.
Характеристики
Язык
Русский
Формат
148x210
Период издания оригинала
Не определён
Отзывы
Отзывов еще никто не оставлял
